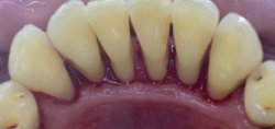
Услуга: Снятие мягкого зубного налета с помощью Air-Flow, ультразвуковая чистка и полировка зубов
Заболевание: Неудовлетворительная гигиена полости рта, отёк десневых сосочков, зубной налет
Гигиенист:
Виталий
Малютин
Стаж работы: 14 лет
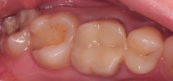
Услуга: Восстановление жевательной поверхности композитом
Заболевание: Средний кариес
Заведующая отделением:, Терапевт:, Гигиенист:
Хазал
Исмаилова
Стаж работы: 14 лет
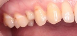
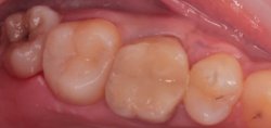
Услуга: Протезирование коронкой на диоксиде циркония
Заболевание: Кариес
Заведующая отделением:, Терапевт:, Гигиенист:
Хазал
Исмаилова
Стаж работы: 14 лет
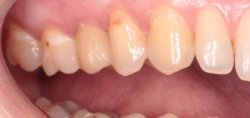
Услуга: Протезирование коронкой на диоксиде циркония
Заболевание: Кариес
Заведующая отделением:, Терапевт:, Гигиенист:
Хазал
Исмаилова
Стаж работы: 14 лет
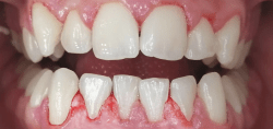
Услуга: Тотальное реконструктивное протезирование
Заболевание: Повышенная стираемость зубов
Хирург-имплантолог:, Ортопед:
Владислав
Аветов
Стаж работы: 34 года
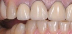
Услуга: Неудовлетворительная эстетика улыбки
Заболевание: Тотальное реконструктивное протезирование
Хирург-имплантолог:, Ортопед:
Владислав
Аветов
Стаж работы: 34 года
Услуга: Восстановление жевательной поверхности композитом
Заболевание: Средний кариес
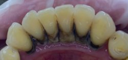
Услуга: Профессиональная гигиена полости рта
Заболевание: Зубной налет и отложения
Гигиенист:
Виталий
Малютин
Стаж работы: 14 лет















