Результаты стоматологической процедуры
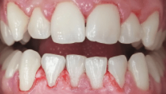
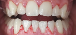
Обратился пациент с жалобами.
Были выявлены неудовлетворительная гигиена, отёк десневых сосочков, кровоточивость десен при зондировании, скученности зубов. После снятия мягкого зубного налета с помощью Air-Flow стали видны твёрдые зубные отложения. После ультразвуковой чистки и полировки зубов была восстановлена гигиена полости рта пациента. Пациенту рекомендованы смена зубной щётки и урок гигиены.

