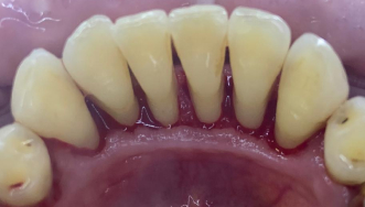
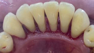
Результаты стоматологической процедуры
Пациент:
Сергей, 49 лет
Услуга:
Профессиональная гигиена полости рта
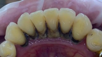
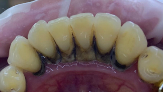
Заболевание:
Зубной налет и отложения
Гигиенист:
Виталий
Малютин
Стаж работы: 14 лет
Пациент обратился с жалобами на налет на зубах и несвежее дыхание.

