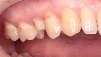
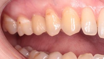
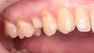
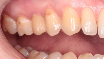
Результаты стоматологической процедуры
Пациент:
Иван, 36 лет
Услуга:
Протезирование коронкой на диоксиде циркония
Заболевание:
Кариес
Заведующая отделением:, Терапевт:, Гигиенист:
Хазал
Исмаилова
Стаж работы: 14 лет
Пациент обратился с жалобами на значительную степень разрушения коронковой части зуба.

