Результаты стоматологической процедуры
Пациент:
Сергей, 24 года
Услуга:
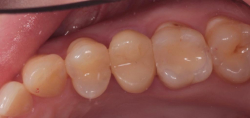
Протезирование коронкой на диоксиде циркония
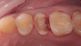
Заболевание:
Кариес
Заведующая отделением:, Терапевт:, Гигиенист:
Хазал
Исмаилова
Стаж работы: 14 лет
Пациент обратился с жалобами на значительную степень разрушения коронковой части зуба.

