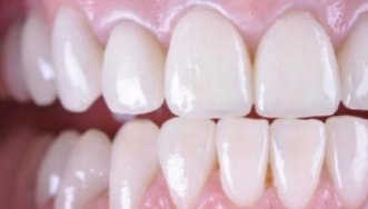
Результаты стоматологической процедуры
Пациент:
Элина, 42 года
Услуга:
Тотальное реконструктивное протезирование
Заболевание:
Повышенная стираемость зубов
Хирург-имплантолог:, Ортопед:
Владислав
Аветов
Стаж работы: 34 года
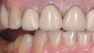
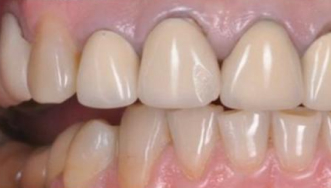
Пациентка обратилась с жалобами на неудовлетворительную эстетику улыбки, генерализованную стираемость, снижение высоты нижнего отдела лица.

