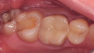
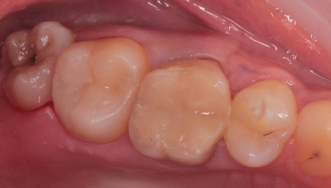
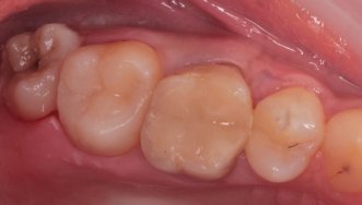
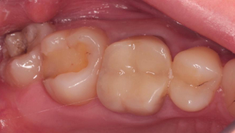
Результаты стоматологической процедуры
Пациент:
Надежда, 34 года
Услуга:
Восстановление жевательной поверхности композитом
Заболевание:
Средний кариес
Пациентка обратилась с жалобами на чувствительность при пережевывании пищи в области ранее установленной пломбы.

