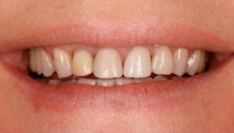
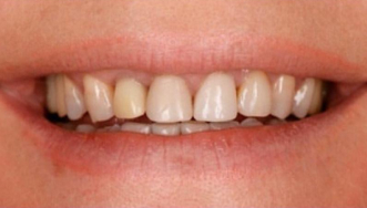
Результаты стоматологической процедуры
Пациент:
Ирина, 44 года
Услуга:
Неудовлетворительная эстетика улыбки
Заболевание:
Тотальное реконструктивное протезирование
Хирург-имплантолог:, Ортопед:
Владислав
Аветов
Стаж работы: 34 года
Пациентка обратилась с жалобами на неудовлетворительную эстетику улыбки, генерализованную стираемость, снижение высоты нижнего отдела лица.

