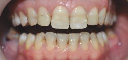
Услуга: Компьютерный дизайн улыбки
Заболевание: Неудовлетворительная эстетика
Хирург-имплантолог:, Ортопед:
Владислав
Аветов
Стаж работы: 34 года
Услуга: Тотальное реконструктивное протезирование, сплинт терапия
Заболевание: Средний кариес
Хирург-имплантолог:, Ортопед:
Владислав
Аветов
Стаж работы: 34 года
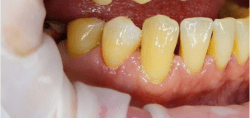
Услуга: Имплантация по системе "Все на четырех"
Заболевание: Хронический пародонтит
Хирург-имплантолог:, Ортопед:
Владислав
Аветов
Стаж работы: 34 года
Услуга: Имплантация по системе "Все на четырех"
Заболевание: Полная вторичная адентия
Хирург-имплантолог:, Ортопед:
Владислав
Аветов
Стаж работы: 34 года
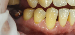
Услуга: Имплантация зубов
Заболевание: Отсутствие зубов
Хирург-имплантолог:, Ортопед:
Владислав
Аветов
Стаж работы: 34 года
Услуга: Препарирование кариозной полости и восстановление пломбой в цвет зуба
Заболевание: Пришеечный кариес в области 44 зуба
Детский стоматолог:, Терапевт:
Валерия
Дородных
Стаж работы: 13 лет
Услуга: Индикация зубного налета методом окрашивания, тщательная чистка зубов в помощью щадящей методики чистки аппаратом Air Flow, и пфлюокаль
Заболевание: Зубной налет
Гигиенист:
Виталий
Малютин
Стаж работы: 14 лет
Услуга: Инвазивное лечение кариеса под микроскопом
Заболевание: Кариес дентина в области 37 зуба
Детский стоматолог:, Терапевт:
Валерия
Дородных
Стаж работы: 13 лет















