Результаты стоматологической процедуры
Пациент:
Елена, 38 лет
Услуга:
Компьютерный дизайн улыбки
Заболевание:
Неудовлетворительная эстетика
Хирург-имплантолог:, Ортопед:
Владислав
Аветов
Стаж работы: 34 года
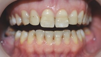
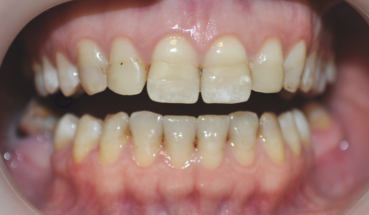
Обратилась с жалобами на неудовлетворительный внешний вид зубов в линии улыбки. Был проведен компьютерный дизайн улыбки и изготовлены виниры по технологии Имакс на область передних 8 зубов верхней челюсти.

