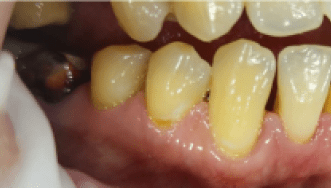
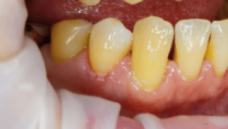
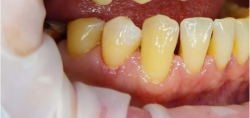
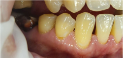
Результаты стоматологической процедуры
Пациент:
Наталья, 47 лет
Услуга:
Препарирование кариозной полости и восстановление пломбой в цвет зуба
Заболевание:
Пришеечный кариес в области 44 зуба
Детский стоматолог:, Терапевт:
Валерия
Дородных
Стаж работы: 13 лет

