ПРОФЕССИОНАЛЬНЫЙ
ОПЫТ И ОБРАЗОВАНИЕ
Стаж работы: 14 лет
Образование:
Медицинский колледж МПК НовГУ, специальность "Зубной врач"
Приоритетные направления работы:
-Диагностирование кариеса зубов, некариозных поражений, болезней пародонта и слизистой оболочки полости рта
-Профессиональная гигиена полости рта
-Клиническое и домашнее отбеливание
-Обучение правильной технике чистке зубов
-Подбор индивидуальных средств гигиены
-Осуществление профилактических процедур: покрытие зубов фторлаком, аппликации реминерализующими растворами/гелями
-Мотивация пациента к профилактике и лечению стоматологических заболеваний
Биография:
Я Стоматолог-гигиенист – это специалист, который занимается профилактикой и лечением заболеваний полости рта, поддержанием гигиены полости рта и зубов. Он выполняет функцию основного врача по гигиене рта.
Я виртуоз в области оральной гигиены и работаю в бинокулярах. Мне присвоена 1 категория по специальности гигиенист стоматологический и сертификат ITOP 2 уровень. Закончил ФГБОУВПО «Новгородский государственный университет им.Ярослава Мудрого» медицинский колледж и более 10 лет уже работаю и повышаю квалификацию гигиениста. Посещаю множество различных семинаров «эффективная профессиональная гигиена: инструкция по достижению успеха», курсов «100% перезагрузка: от стандартного к уникальному», «нехирургической пародонтологии, root planning & scaling», вебинары по Отбеливание зубов.
Какие задачи стоят передо мной?
Во-первых, Я занимаюсь профилактикой заболеваний полости рта - диагностирование кариеса зубов, некариозных поражений, болезней пародонта и слизистой оболочки полости рта.
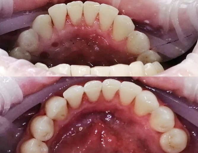
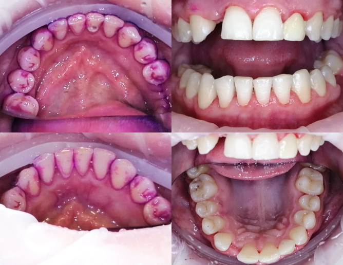
Во-вторых, Я провожу профессиональную чистку зубов. Это процедура, которая удаляет зубной налет и зубные отложения, предотвращает развитие кариеса и пародонтита. Так же линиеское и домашнее отбеливание.
Кроме того, могу назначать и выполнять профилактические процедуры, такие как фторирование зубов и нанесение фиссурного герметика.
Одной из важных задач стоматолога-гигиениста является обучение пациентов правильным техникам ухода за полостью рта и зубами. Я демонстрирую правильную и регулярную чистку зубов, использование зубной нити, ершиков и ополаскивателей, а также консультирует о правильном питании и здоровых привычках для поддержания здоровья полости рта. Консультирование пациента по уходу за ортодонтическими и ортопедическими конструкциями.
Возраст пациента и его образ жизни также играют важную роль при выборе методов лечения. Я обращаю внимание на индивидуальные потребности своих пациентов и разрабатываю персонализированные планы ухода. Если пациентом является ребенок, Я включаю игровые элементы в процесс ухода за полостью рта, чтобы сделать его более интересным и привлекательным.
Так же легко и быстро оказываю гигиеническую помощь в стоматологии со съемными протезами уход и за ними.
ОТЗЫВЫ О ВРАЧЕ
(Виталий Николаевич Малютин)
Замечательная клиника , врачи хорошие профессионалы , рада что я попала к вам на лечение ) спасибо за доброжелательное отношение качественное лечение)

