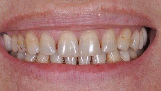
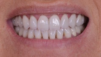
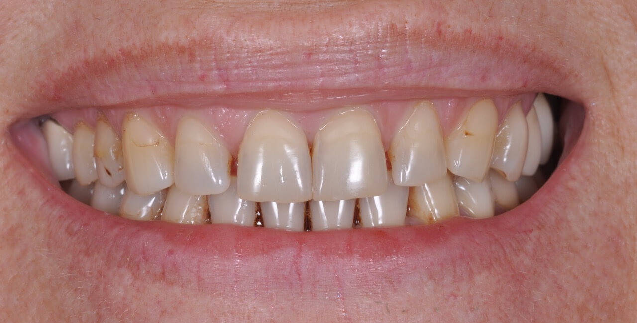
Результаты стоматологической процедуры
Пациент:
Любовь, 45 лет
Услуга:
Имплантация зубов
Заболевание:
Неудовлетворительная эстетика
Хирург-имплантолог:, Ортопед:
Владислав
Аветов
Стаж работы: 34 года
Обратилась с жалобой на внешний вид зубов и неудовлетворительную эстетику.

