Владислав Геннадиевич Аветов
Эксперт в эстетическом и функциональном восстановлении зубов, хирург-имплантолог.
ПРОФЕССИОНАЛЬНЫЙ
ОПЫТ И ОБРАЗОВАНИЕ
Стаж работы: 34 года
Образование:
Выпускник СПбГМУ им. академика И.П. Павлова в 1992 году.
Приоритетные направления работы:
- Сложное реконструктивное протезирование
- Протезирование на имплантатах и на зубах
- Повторное протезирование
- Лечение заболеваний височно нижнечелюстного сустава
Биография:
Постоянно повышает свою квалификацию на конгрессах, конференциях и мастер классах у ведущих стоматологов мира.
2006-2011 год
Лектор международного уровня в компании Nobel Biocare
2011-2012 год
Лектор в компании Alfa Bio
2012-по настоящее время
Лектор в World Education Group
Виртуоз в области имплантации, хирургии и ортопедии с впечатляющим стажем работы в данной области - 32 года! Он является выпускником Санкт-Петербургского государственного медицинского университета имени академика И.П. Павлова, получивший свое образование в 1992 году.
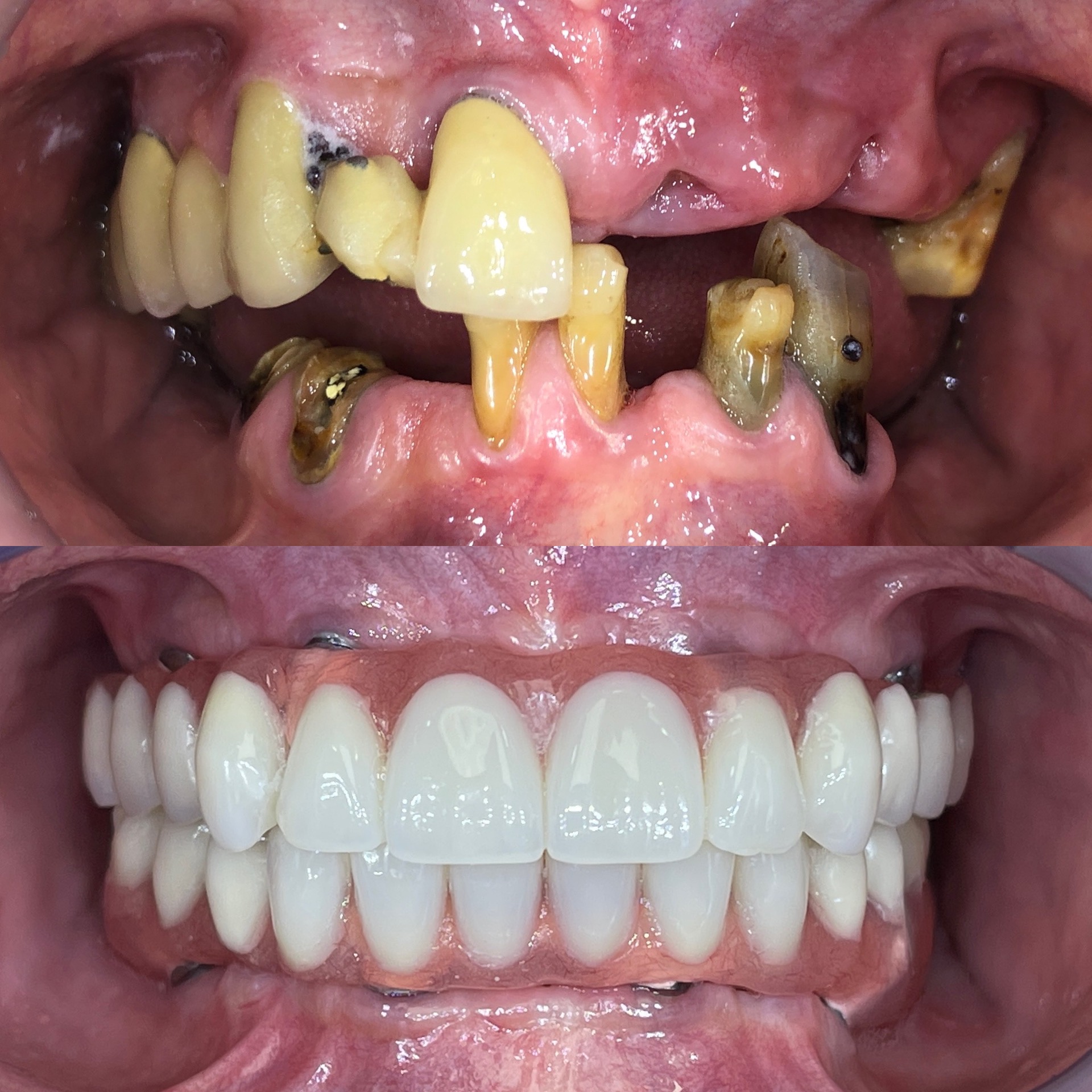
Специализируется на сложном реконструктивном протезировании, протезировании на имплантатах, повторном протезировании и лечении заболеваний височно-нижнечелюстного сустава. Он обладает уникальными навыками и опытом, которые позволяют ему успешно и профессионально решать самые сложные клинические случаи.
Он постоянно совершенствует свои навыки и знания, принимая участие в международных конгрессах, конференциях и мастер-классах. При этом он также является лектором нашей клиники, а также в компаниях Nobel Biocare, Alfa Bio и World Education Group. Его экспертное мнение и опыт весьма ценятся в мировой стоматологической общественности.
Пациенты ценят его за профессионализм, добросовестность и преданность своей работе. Он обладает прекрасным межличностным общением и умением создавать доверительные отношения с пациентами. Он помогает им обрести красивую улыбку и здоровые зубы, улучшая их качество жизни.
Если вы ищете специалиста, который качественно и безболезненно сможет выполнить сложные процедуры имплантации, реконструкции и протезирования, настоятельно рекомендуем обратиться к нашему стоматологу-хирургу ортопеду имплантологу. Его опыт и профессионализм гарантируют высокий уровень выполнения процедур и отличные результаты.
ОТЗЫВЫ О ВРАЧЕ
(Владислав Геннадиевич Аветов)
Очень благодарна клинике 32 за качественную и профессиональную работу всего коллектива. Особенно Аветову В.Г. за профессионализм и комфортное лечение и протезирование. Настоящий врач от Бога. Желаю всему коллективу клиники крепкого здоровья, успеха и процветания.
Доброго всем дня! Я являюсь пациентом клиники «Клиника 32» уже более 15 лет. Помимо прфгигиены и лечения зубов мне пришлось столкнуться и с серьезным протезированием зубов. И за все это время ни разу не возникло причины, побудившей меня поменять эту клинику на другую. Меня устраивает все: современное оборудование, стерильная чистота, обходительные и вежливые врачи, серьезно относящиеся к выполняемой работе. Особенно хотелось бы отметить высокий профессионализм господина Аветова В.Г., который с легкостью решал все, возникавшие у меня проблемы с зубами.
С моей точки зрения, соотношение цена-качество полностью соответствует действительности.
Ставлю клинике оценку 5 из 5!
В клинику 32 начала ходить 20 лет тому назад. Лечусь у Аветова В.Г. Очень внимательный, профессиональный врач. Большое спасибо всему коллективу за доброе, внимательное отношение.

